Nasce MiThyCA, un sistema di Intelligenza Artificiale che aiuta a leggere le immagini digitali dei vetrini istologici della tiroide
Senza sostituire la diagnosi medica emula il processo usato in patologia. Lo studio innovativo, guidato dall'Università Ca' Foscari Venezia e dall'Università di Milano-Bicocca, è stato pubblicato su Endocrine Pathology
Un gruppo di ricerca interdisciplinare che ha coinvolto l'Università Ca' Foscari Venezia, l'Università di Milano-Bicocca, l'Istituto Europeo di Oncologia e l'ASST Papa Giovanni XXIII di Bergamo ha sviluppato MiThyCA, un sistema di Intelligenza Artificiale che aiuta a leggere le immagini digitali dei vetrini istologici della tiroide. In pochi secondi, MiThyCA evidenzia le zone che meritano un controllo prioritario da parte del personale sanitario, con l'obiettivo di ridurre i tempi di attesa e facilitare e personalizzare con la tecnologia il percorso di cura delle persone. Lo studio è stato pubblicato sulla rivista scientifica Endocrine Pathology. Il progetto è open source, quindi già a disposizione della comunità scientifica, ed è stato supportato nella sua ideazione dalla Fondazione Anthem, un'iniziativa finanziata dal Ministero dell'Università e della Ricerca nell'ambito del Piano Nazionale Complementare (PNC).
La patologia digitale: diagnosi ad alta risoluzione
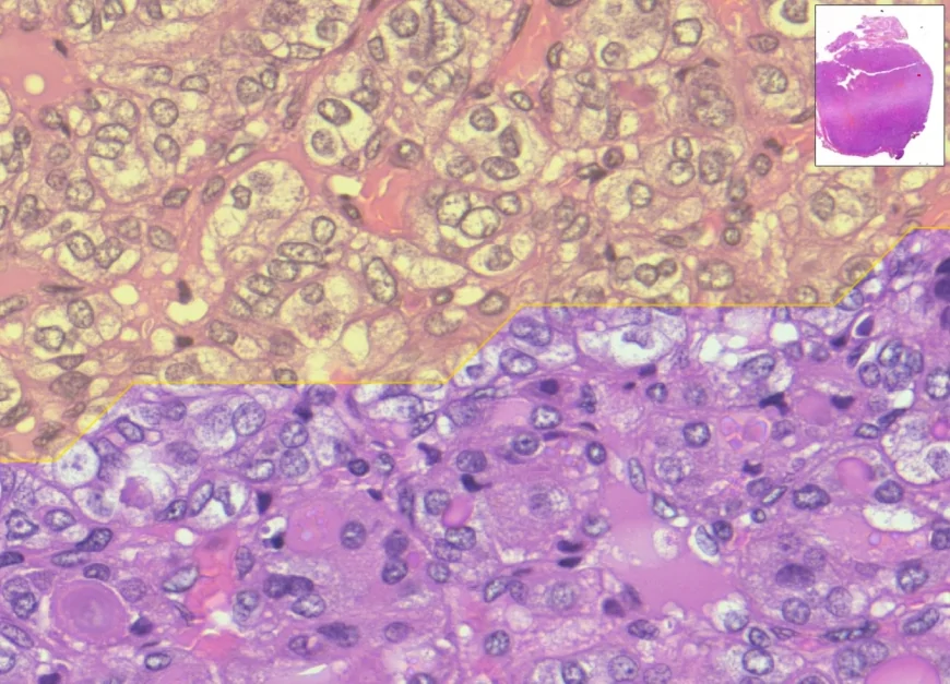
Il contesto è la patologia digitale, ovvero l'analisi di vetrini istologici digitalizzati con scanner molto potenti in grado di produrre "fotografie" dei campioni, in cui è possibile zoomare fino al livello delle singole cellule. La prima difficoltà è che la diagnosi dipende da valutazioni su scale molto diverse, che insieme possono discriminare tumori da altre patologie non invasive o meno aggressive. Il sistema sviluppato nella ricerca mette in campo due reti neurali che lavorano in sequenza: un primo "occhio digitale" coglie i dettagli delle cellule; un secondo "occhio" considera la visione d'insieme dell'immagine. Mettendo insieme le due letture, MiThyCA indica dove conviene guardare prima.
Inoltre, le immagini di patologia digitale sono di enormi dimensioni, quindi esiste anche un problema di quantità di tempo richiesto per elaborarle. Oggi l'analisi di ogni vetrino richiede minuti. In pochi secondi, invece, MiThyCA individua le aree sospette da sottoporre alla valutazione di patologi e patologhe. Questo risultato è stato ottenuto usando i modelli di intelligenza artificiale più leggeri possibili, ma che fossero in grado di assicurare una performance ottima.
Ridurre i tempi di analisi: da minuti a pochi secondi
"Le due caratteristiche che abbiamo voluto mantenere nello sviluppo di MiThyCA - spiegano ricercatrici e ricercatori dell'Universitá di Milano-Bicocca - consistono nella facilità e nella rapidità di esecuzione. L'algoritmo agisce in maniera sequenziale "simulando" la modalità di analisi del patologo e della patologa, e richiede pochi secondi per fornire una risposta, ovviando a uno degli attuali limiti di algoritmi più complessi a disposizione per la diagnosi".
Un altro aspetto particolarmente complesso del lavoro è la provenienza dei dati. Ospedali e laboratori diversi hanno scanner e protocolli differenti, che producono immagini spesso molto diverse. MiThyCA è stata allenata per essere resistente a questo tipo di variazioni, e produrre consistentemente output validi in contesti diversi.
"Abbiamo costruito un programma che, in pochi secondi, segnala alla patologa o al patologo le zone del vetrino da controllare. - afferma Marco Salvatore Nobile, professore di Bioinformatica al Dipartimento di Scienze Ambientali, Informatica e Statistica dell'Università Ca' Foscari Venezia, che precisa - La diagnosi resta sempre umana: il software suggerisce dove guardare prima. Per portare questa tecnologia nella pratica quotidiana abbiamo scelto modelli leggeri, che funzionano anche senza hardware speciale e tengono conto delle differenze tra scanner e protocolli".
Prestazioni elevate: accuratezza fino al 90%
Lo studio ha analizzato 73 immagini digitali di vetrini provenienti da più centri. Nei test il sistema ha indicato correttamente le aree di interesse in circa 8–9 casi su 10; per ogni vetrino ha impiegato pochi secondi. Le dimensioni dell'immagine non hanno influenzato in modo rilevante i tempi di calcolo.
Collaborazione multidisciplinare e prospettive future
Il lavoro, che ha coinvolto esperte ed esperti di patologia, statistica e informatica, è stato realizzato in collaborazione con diversi centri di ricerca universitari e ospedalieri. A questa ricerca è stata inoltre dedicata la tesi di laurea triennale in Informatica di Leone Bacciu, coautore dello studio e premiato a Ca' Foscari come miglior studente di area scientifica della sua sessione. Il team ora punta a validazioni su casistiche più ampie e all'integrazione nei processi della patologia digitale.
Qual è la tua reazione?
Mi piace
0
Antipatia
0
Amore
1
Divertente
0
Arrabbiato
0
Triste
0
Oh
0


